葉子口腔科普 今天

很多人都认为,只有龅牙、地包天或者牙齿参差不齐才需要矫正。

然而,还有一种牙齿咬合情况——深覆合,对牙齿也是有伤害的。那么,什么是深覆合?有深覆合后,又该如何矫正呢?
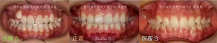
啥是深覆合?
覆合,通常表示的是上前牙盖住下前牙的程度。

如果上前牙的牙冠覆盖下前牙牙冠的唇面大于1/3,医生会把它称为深覆合。
深覆合咋穿越来的?
有“因”才有“果”。种下了深覆合这个果,都是以前的因。这些“因”都有哪些呢?认清楚“因”,以防掉坑。
1全身因素
孩子如果在儿童时期遭受过全身的慢性疾患,牙齿就有可能发生深覆合。
这些疾患会导致颌骨发育不良,后牙萌出不全,从而后牙的牙床高度会不够,随着前牙的继续萌出,前牙的牙床高度就会变得过大。

这是我的一例深覆合小患者,儿子完全遗传了父亲的深覆合。

儿子

父亲
3不良习惯:吮手指,咬下唇等

4其它
当孩子多颗乳磨牙或第一恒磨牙(六龄牙)提早缺失的时候,会降低了牙床与牙床之间的距离。
当孩子吃东西的时候,牙床间的距离降低会导致咀嚼力刺激的缺乏,从而影响牙床(颌骨及牙槽)的发育。

图中的六龄牙(第一恒磨牙)因蛀牙只残留了牙冠,
导致牙床间的距离降低
深覆合的牙齿与面型的“独特”表现
有些深覆合的面型表现很“独特”,有时甚至靠“脸”就能看出这个人有没有深覆合。比如:
1方面型的脸型:闭锁性深覆合

这种深覆合的上前牙是直立的,而下颌(就是下巴)是后缩的。
如果有闭锁性深覆合的人,脸型是方面型,脸部下方1/3的高度会较短。
这类人的下嘴唇会外翻,上嘴唇看起来很短。
2凸面型的脸型:龅牙

这是我们比较熟悉的龅牙。有龅牙的人,上排的前牙向嘴唇方向倾斜,下排前牙也会比一般人的长。
从正面看上去,有龅牙的人嘴唇是打开的,总是露出牙齿,如果要他们把嘴唇闭上,会有困难。
从侧面看上去,他们的下巴往后缩,而上嘴唇会往前凸。面型很突。
深覆合会让牙齿闯什么大祸?
深覆合毁掉的不仅仅是一个人的颜值,还有牙齿。
1
深覆合经常导致上排和下排前牙拥挤,上排前牙直立而且往内倾斜,也会导致牙齿咬合紊乱等。


2
严重闭锁型深覆合,会经常咬伤上排前牙靠上颚一侧的牙龈或下排前牙靠嘴唇一侧的牙龈,从而引起急性、慢性牙周炎,甚至会造成牙床(牙槽骨)吸收,牙齿松动等。


右下前牙缺失(图中左侧),活动义齿修复(五角星标注)
3
深覆合会导致下排前牙的切端(切缘)被过度磨耗。

有了深覆合,该怎么制服这“磨人的小妖精”?
根据深覆合的病因以及错颌畸形的类型进行个性化正畸治疗,获得健康、美观、稳定的牙颌面型。
For example……
深覆合治疗前

戴上牙套

脸型变化——正面

脸型变化——侧面


深覆合能不能预防?
除了遗传性质的深覆合,其他的深覆合情况是可以预防的。正所谓“上医治未病”,预防是关键。所有的爸妈们都要注意啦!
1胎儿期
预防应该从胎儿期就开始,妈妈在怀孕期间要加强营养,增强胎儿体质。
2婴儿期
对于婴儿期的孩子,母乳喂养是最好的选择。
母乳喂养可以使孩子的下巴做合适的下巴往前伸的运动,再配合舌头、嘴唇、脸颊各部分的肌肉配合运动,使得孩子的颌面部肌肉得到协调发育。
3儿童期
儿童时期是孩子生长发育的旺盛时期,不但要注意适当提高饮食营养,还要注意适当提高食物硬度,让孩子口腔中的各部分结构都得到充分刺激,从而提高咀嚼功能。

(提高食物硬度并不是让孩子啃核桃壳,那种粗重活交给夹子。我们应该给孩子一颗苹果,而不是给他苹果泥。)
保持口腔清洁也很重要,这样可以预防蛀牙,从而防止乳磨牙和恒磨牙的过早缺失。
整明白啥是深覆合之后就不怕了,早期预防,早发现早治疗!
管你是哪路深覆合大仙,通通都会被几十万年修为的正畸医生封印住。
图片 | 网络/作者
作者 | 袁彩霞
编审&排版| 牙医麻麻Debbie
猜你喜欢:注意!你家孩子不可错过的三个矫正最佳时期!

袁彩霞
杭州口腔医院正畸中心 主治医师
首都医科大学,口腔正畸学专业硕士
世界正畸联盟(WFO)会员,中华口腔正畸专委会(COS)专科会员
Invisalign隐适美无托槽隐形矫正认证医师
蔡斌团队首创成员
杭州口腔医院研究院研究专员
通策牙学院讲师
投稿、合作、加入:dentalleaf@gmail.com

阅读原文阅读 8056
写留言

